銀歯とは

銀歯は正式には金銀パラジウム合金と呼ばれる合金で、構造的・素材的な特性から、虫歯の再発(=二次虫歯)リスクが高くなる傾向があります。
長期間、口腔内に入っている銀歯は錆びたり変形したりして、外れたり虫歯になってきたりします。
たとえ、痛みなどの症状がなかったり銀歯が外れていなくても、ご自身では気づかずに中で虫歯になっていることが多くあります。
また、虫歯になりやすいだけでなく銀色のため、口を開けたときに目立ちやすく、特に前歯や笑ったときに見える奥歯にあると気になることが多いです。以下に当てはまる方は再治療を検討することをお勧めします。
こんなお悩みはありませんか?
- 何度も虫歯になって、
治療はうんざりしている - 笑ったときの銀歯が気になる
- 金属アレルギーが心配
- 長期間美しさを保ちたい
銀歯の虫歯再発リスク
について

前述した通り、銀歯治療は構造的・素材的な特性から、虫歯の再発(=二次虫歯)リスクが高くなる傾向があります。ここでは当院にご来院された方の銀歯の下で虫歯が広がってしまっていたケースを紹介します。
銀歯の下で虫歯が
広がってしまっていた症例
銀歯を外す前
銀歯を外した後
銀歯を外す前
銀歯を外した後
銀歯の虫歯再発リスクが高い要因
1経年劣化で歯と歯の間に
すき間ができやすい
銀歯(メタルインレー・クラウン)は金属製のため、長期間使用すると少しずつ変形や劣化が起こります。
その結果、詰め物や被せ物と歯のあいだにごく小さなすき間が生じ、そこから細菌が入り込んで内部で虫歯が再発することがあります。
2装着時の適合精度に限界がある
保険診療の銀歯は、製作工程や使用素材の制限により、精密さに限界があります。
微細な段差やわずかなズレが生じやすく、歯垢や細菌がたまりやすい環境になってしまうことがあります。
3プラーク(歯垢)がつきやすい素材
銀歯の表面はセラミックなどに比べてざらつきがあり、汚れが付着しやすいという特性があります。そのため、歯磨きで除去しきれない汚れが蓄積し、虫歯菌の温床になってしまうことがあるのです。
銀歯をそのままにしておくと…
長期間、口腔内に入っている銀歯は錆びたり変形したりして、外れたり虫歯になってきたりします。
たとえ銀歯が外れていなくても、内部で虫歯が進行していることも少なくありません。また、痛みなどの症状がなく、ご自身では気づかずに中で虫歯になっていることも多くあります。
放置する時間が長ければ長いほど、虫歯菌が歯の内部にどんどん入り込み、むし歯が進行していきます。
すぐに問題があるとは限りませんが、「銀歯の中がどうなっているか」は見た目だけでは判断できません。必要であれば、レントゲンで状態を確認し、問題がなければそのまま、虫歯や看過できない隙間・段差が見つかれば早期治療を行うというのが安心な選択です。
銀歯の再治療について

当院では、銀歯をなくしたいというご希望に対して、セラミックやジルコニアのような虫歯になりにくく、かつ審美性に優れた素材を用いた治療をご提案しています。実際に歯科関係者が自分の歯を治療するときはセラミックで治すケースがほとんどです。
銀歯の交換をご検討される理由には、「見た目が気になる」「金属アレルギーが心配」「古いから中で虫歯になっているかも」などがあります。当院では、現在の銀歯の状態や虫歯・劣化の有無をしっかりと診査・診断し、見た目だけでなく、噛み合わせや機能面にも配慮した最適な治療プランをご提案いたします。
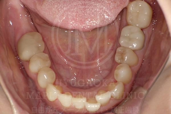
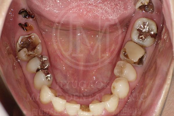
銀歯を外してセラミック治療にした症例
case1
治療前
治療後
治療前
治療後
| 治療内容 | 古い銀歯をセラミックに治療 |
|---|---|
| 治療期間 | 約8ヶ月 |
| 治療費用 | 792,000円(8.8万円×9本)(税込) |
| 治療後に起こりうるリスク | 個人差により、ごく稀に欠けたり壊れる可能性があります |
case2
治療前
治療後
治療前
治療後
case3
治療前
治療後
case4
治療前
治療後
治療前
治療後
| 主訴 | 全体的にキレイにしたい しっかり治療したい |
|---|---|
| 治療内容 | むし歯治療 |
| 治療期間 | 2年 |
| 治療費用 | 約2,000,000円 |
| 治療後に起こりうるリスク | 個人差により、ごく稀に欠けたり壊れる可能性があります |
銀歯をセラミックにやり直すことによるメリット
銀歯をなくしてセラミックにやり直す治療には、虫歯の再発リスクを抑える機能的なメリットと、自然で美しい見た目を取り戻す審美的なメリットの両方があります。
機能的なメリット
虫歯の再発を防ぐ高精度な適合
銀歯は長期間の使用によってすき間ができ、そこから虫歯が再発してしまうことも少なくありません。
セラミック治療は、精密な型取りと加工によって高精度な適合を獲得できるため、細菌が侵入するすき間ができにくく、虫歯の再発リスクを大きく減らすことができます。
プラークがつきにくく清潔を保ちやすい
セラミックは表面が滑らかで汚れがつきにくいため、毎日の歯みがきでも清潔に保ちやすく、虫歯や歯周病のリスクを抑えるのにも役立ちます。
歯を長く守る、将来を見据えた治療
セラミックは耐久性にも優れ、必要以上に歯を削らずに治療できることもあるため、歯の寿命を延ばすことにもつながります。 定期的なメインテナンスと組み合わせることで、長期的に安心して使い続けていただけます。
審美的なメリット
美しく自然な見た目に
銀歯は目立ちやすく、笑ったときや話すときに気になるという声も多いですが、セラミックは透明感があり、天然歯と見分けがつかないほど自然な色調と質感を再現できます。そのため、治療したことを周囲に気づかれにくいほど美しい仕上がりになります。
「美しくなって、
虫歯の心配も減らせる」
それがセラミック治療の大きな魅力です。
ただ銀歯を白くするだけではなく、歯の健康を守り、将来の不安を減らす選択肢としてご提案しています。気になる方は、まずはお気軽にご相談ください。
よくある質問

Q.保険の白い素材と
自費のセラミックの違いは
何ですか?
A.保険の白い素材はCAD/CAMレジンブロックを削り出して、詰め物や被せ物を作成いたします。
これらは白く見える一方で、
- 適合精度が高くないため、
すき間から二次虫歯が起こりやすい - レジンという材質上、
欠けたり割れたりすることがある - 経年劣化によって変色や摩耗が
起こりやすい - 表面がざらつきやすく
汚れがつきやすい
といったデメリットがあります。
対して自費診療で使われるセラミックは、
- 非常に高い適合精度で作られるため
虫歯が再発しにくい - 天然歯のような透明感とツヤのある
自然な美しさ - 表面がなめらかで汚れがつきにくく
清潔を保てる - 変色・摩耗しにくく、長く美しさが
続く
といった点が大きな違いです。
「白ければどれも同じ」ではありません。
見た目が白くても、「どんな素材か」「どれだけ長く機能するか」は大きく異なります。
当院では、患者さまのご希望・ご予算・歯の状態に合わせて、保険診療・自費診療それぞれのメリットと注意点を丁寧にご説明していますので、お気軽に担当医にご相談ください。
Q.何十年も前に銀歯にしましたが、
特に痛みがなく
問題は起きていないように思えます。
それでも銀歯を外した方が
いいですか?
A.痛みや不具合がなくても、銀歯の下で虫歯が進行していることは珍しくありません。
特に、5年以上前に装着した銀歯は、経年劣化や素材の特性からリスクを抱えている可能性があるため、一度精密にチェックされることをおすすめします。
痛みがなくても、虫歯が「静かに進行」していることがあります。
銀歯は長年の使用で、目に見えないすき間や劣化が生じやすく、そこから細菌が侵入して内部で虫歯が再発することがあります。
しかし、再発した虫歯は神経がない歯や深部では痛みを感じにくく、気づいたときには重度に進行していて抜歯になってしまうというケースも少なくありません。
銀歯は金属ゆえに「隙間」「変形」が起きやすい素材です。
保険診療で使われる銀歯は、「経年で変形・腐食が起きやすい」「加工精度に限界があり段差や隙間が残りやすい」「表面がざらついて汚れがつきやすく、虫歯菌が繁殖しやすい」といった理由から、時間とともに虫歯リスクが高まりやすいといわれています。
必ずしも「今すぐ外すべき」ではありませんが…
すぐに問題があるとは限りませんが、「銀歯の中がどうなっているか」は見た目だけでは判断できません。
必要であれば、レントゲンで状態を確認し、問題がなければそのまま、虫歯や看過できない隙間・段差が見つかれば早期治療を行うというのが安心な選択です。
費用面を気にされている方へ
保険診療と比べると価格面で負担が大きいため、迷われる方もいらっしゃると思います。
しかし自由診療の費用は、単なる「モノ」の対価ではなく、ドクターの豊富な経験と高度な技術、最新の院内設備、質の高いスタッフ対応、そして信頼できる技工士の丁寧な仕事など、治療に関わるすべての「質」を反映したものです。
それらが組み合わさることで、費用以上の価値を実感していただける治療を提供できると私たちは考えています。
また当院では、各種クレジットカードやデンタルローンでのお支払いにも対応しておりますので、ご負担の少ない方法で治療を受けていただけます。ご不明な点がございましたら、どうぞお気軽にご相談ください。

